Request Appointment
4455 Central Way, Suite A, Fairfield, CA 94534
(707) 863-0777
Our Office
4455 Central Way, Suite A
Fairfield
,
CA
94534
(707) 863-0777
Visit Us Online
Home
About Us
Our Office
Our Team
Office Tour
Smile Gallery
Testimonials
Dental Videos
Patient Forms
Services
Dental Cleanings
Dental Sealants
Emergency Treatment
Extractions
Oral Exams
Pediatric Dentistry
Periodontal Treatment
Preventative Program
Root Canals
Crowns & Caps
Dental Bridges
Dental Fillings
Dentures
Implant Dentistry
Inlays & Onlays
Bad Breath
Cosmetic Dentistry
Crooked or Crowded Teeth
Invisalign®
Missing Teeth
Teeth Whitening
Tooth Pain or Infection
Veneers
CBCT
Digital Radiography
Laser Dentistry
Dental Health
Contact
Contact Us
Request Appointment
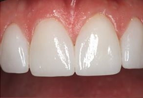
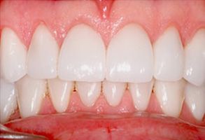
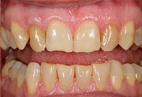
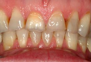
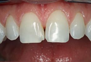
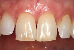
Dentistry Before and After Photos
Before
After
*Results May Vary
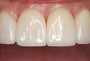
Before
After
*Results May Vary
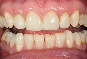
Before
After
*Results May Vary
Before
After
*Results May Vary
Before
After
*Results May Vary
Before
After
*Results May Vary
Before
After
*Results May Vary
Our Office
4455 Central Way, Suite A
Fairfield
,
CA
94534
(707) 863-0777
Visit Us Online
(707) 863-0777
© 2026 Yu Smile Dental. All Rights Reserved. |
Accessibility Policy
Dentist Website Design
Fairfield Dentist | Dentist in Fairfield | Cosmetic Dentist Fairfield